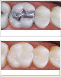
Stomatologia moderna ne permite sa obtinem atat rezistenta, cat si o estetica naturala prin realizarea unor obturatii dentare fizionomice. Putem restaura dintii la rezistenta si aspectul lor anterior, cu ajutorul rasinilor compozite si al ceramicii. Obturatiile vechi, negre, din amalgam pot fi inlocuite, iar dintii pot arata ca si “noi”.
Intr-un anumit punct al vietii noastre, majoritatea dintre noi vom avea, probabil, o carie. In cele mai multe cazuri, medicul va indeparta tesutul afectat si va obtura respectiva cavitate. In ultima perioada au fost facute multe descoperiri in acest domeniu, astfel incat, in cazul in care nu ai mai avut o carie de ceva timp, ar trebui sa te documentezi in privinta posibilitatilor pe care le ai la dispozitie. In acest mod vei putea alege cea mai buna varianta.
Ca sa afli mai multe despre obturatiile coronare si procesul prin care dintii tai sunt obturati, alege din variantele din meniul de mai jos.
Obturatii din rasini compozite
Nu sunt riscuri in ceea ce priveste starea generala de sanatate pentru acest tip de obturatie.
Obturatiile de amalgam
Acest tip de obturatie contine mercur si sunt adesea mentionate ca “obturatii de metal”. Siguranta lor a fost pusa sub semnul intrebarii pentru o lunga perioada de timp din cauza eventualelor absorbtii ale mercurului, substanta care poate fi cauza unor boli ca Alzheimer’s, scleroza sau artrita. Cu toate acestea, investigatiile nu au dovedit ca o asemenea cantitate mica de mercur poate fi daunatoare sanatatii.
Avantaje:
Compozitul se fixeaza bine de structura dentara ramasa integra, prevenind astfel fracturarea sau deteriorarea dintelui. Aspectul final al obturatiilor dentare fizionomice este mult mai bun decat cel al obturatiilor metalice, avand si o culoare care se adapteaza la nuanta dintelui natural. Aceste obturatii sunt adesea folosite pentru a imbunatati aspectul dintilor colorati, ciobiti sau cu o forma necorespunzatoare.
Obturatiile fizionomice rezista in general intre 6 si 12 ani sau chiar mai mult, iar procedura presupune o singura vizita la stomatologul tau. Fata de obturatiile din amalgam, sensibilitatea la rece sau cald este una mult mai scazuta. In plus, dentistul tau nu va trebui sa sacrifice atat de multa substanta din dinte,precum in cazul obturatiilor de amalgam.
Dezavantaje:
Obturatiile fizionomice necesita mai mult timp decat cele din amalgam. Acest lucru se traduce printr-un cost mai ridicat al procedurii.




